五反田駅前ルミリア矯正歯科オーラルビューティー

診療時間 午前10:00〜13:30 午後15:00〜20:00 休診日 不定休
診療時間
平日 午前10:00〜13:30 午後15:00〜20:00
土日 午前10:00〜13:00 午後14:00〜18:30

診療時間

午前10:00〜13:30 午後15:00〜20:00

無料矯正相談
WEB予約
SCROLL
SCROLL
無料矯正相談
WEB予約
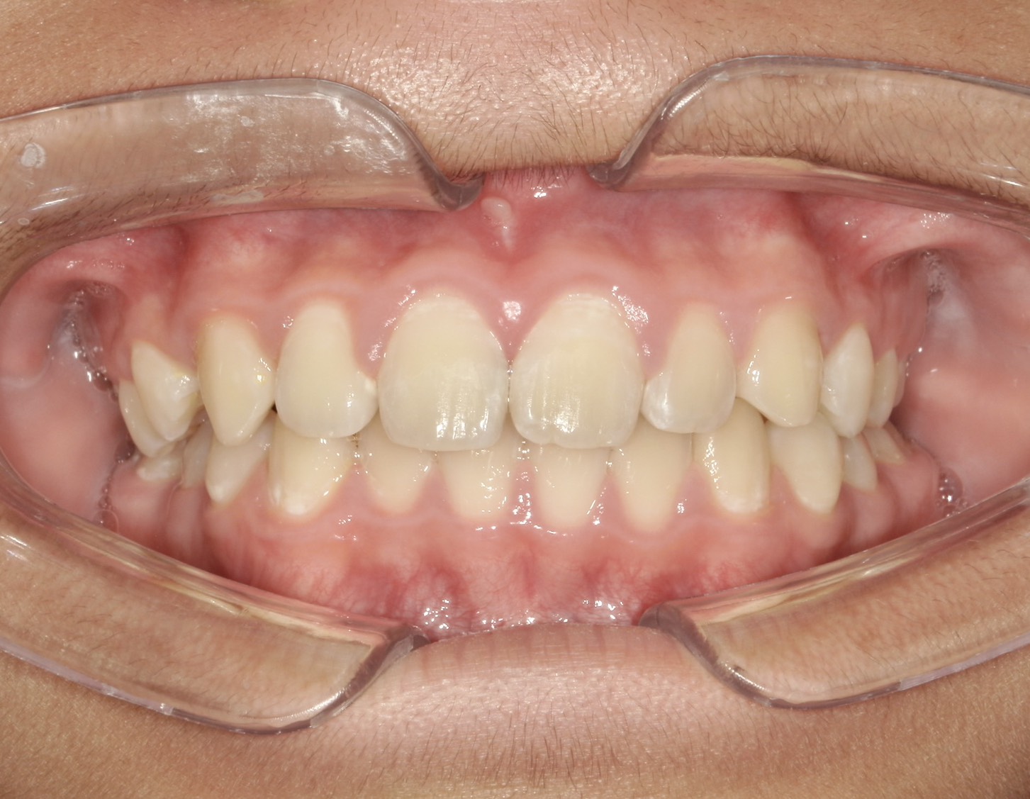
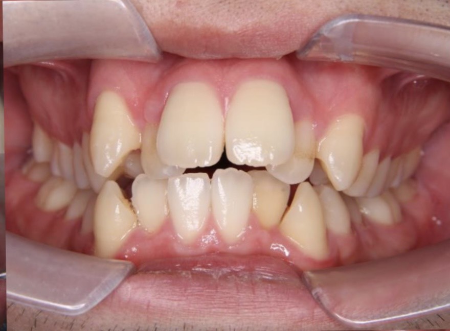
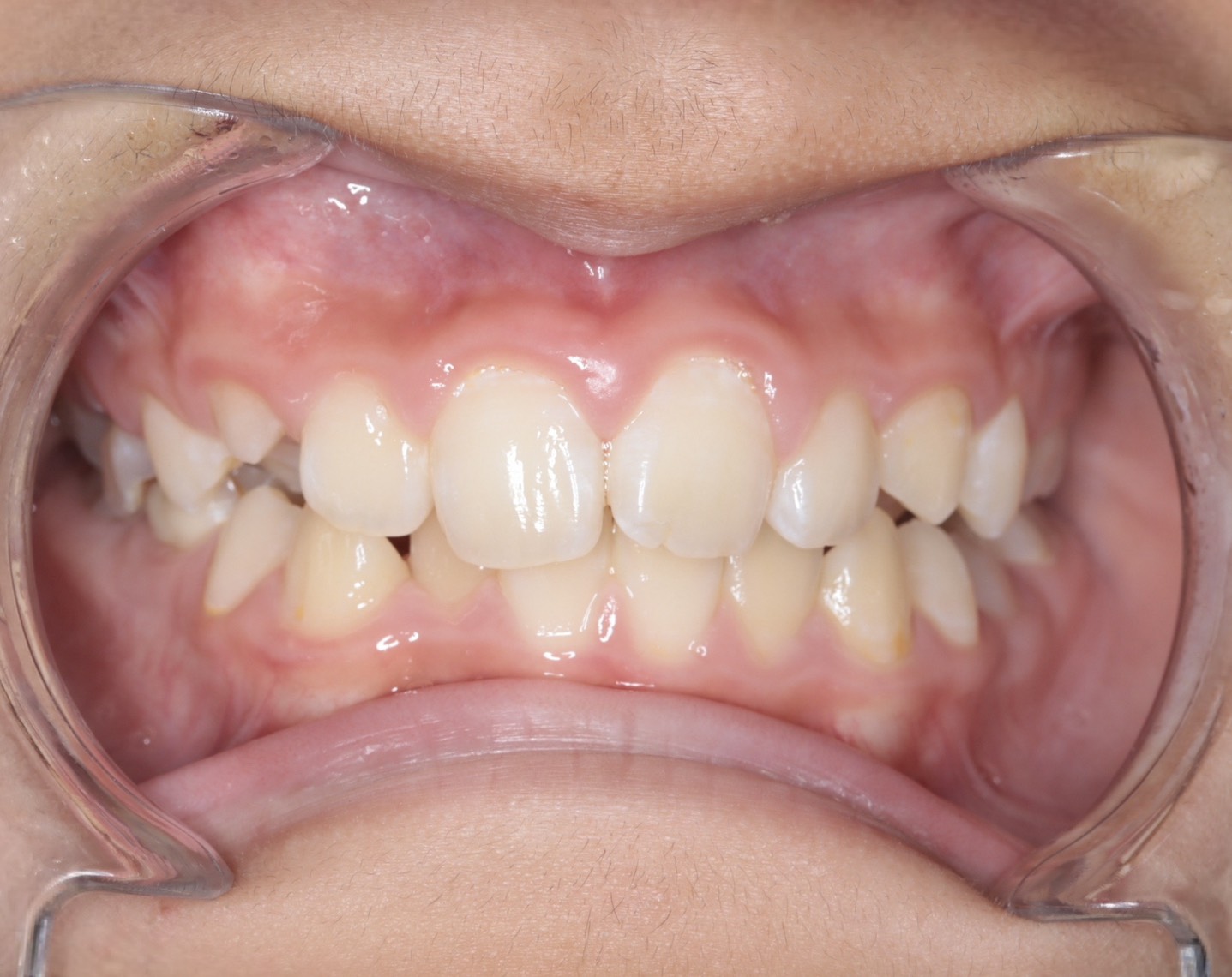
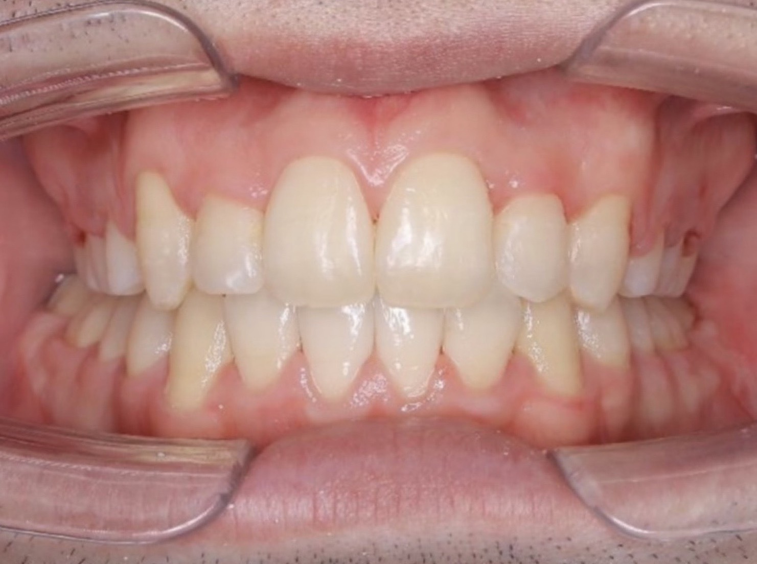
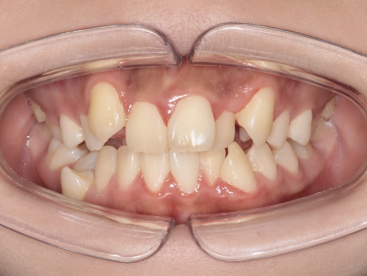
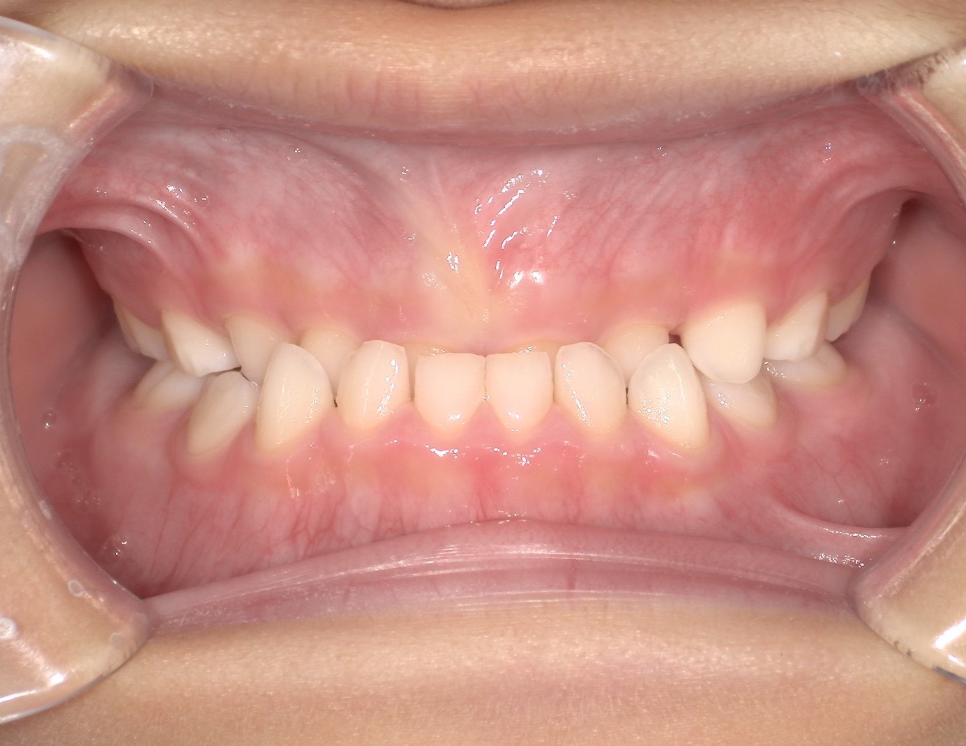
症例紹介

TREATMENT

診療内容

01

大人の矯正歯科

ワイヤー矯正

ワイヤー矯正

大人になってからでも遅くない矯正歯科。目立ちにくい装置で自然な笑顔と正しい噛み合わせを実現し、口元の印象を美しく整えます。

02

大人の矯正歯科

マウスピース矯正

マウスピース矯正

透明で目立ちにくいマウスピース矯正。取り外し可能で衛生的、日常生活に馴染みやすく快適に歯並びを整える新しい矯正治療です。

03

子どもの矯正歯科

子どもの矯正歯科

子どもの矯正歯科は、成長期に合わせて歯並びや噛み合わせを整える治療です。将来の健康な口元づくりと自信ある笑顔をサポートします。

04

ホワイトニング

ホワイトニング

専用機器で歯の汚れを落とすクリーニングや、薬剤で白さを引き出すホワイトニング。口元を明るく健康的に見せ、自信ある笑顔をサポート。

FEATURE

当院の特徴

私たちは「ただの矯正歯科」ではありません。
本物の知識・経験・頭が全てをもって、患者さん一人ひとりに最適な治療を届ける
矯正専門クリニックです。

POINT 01

大学病院出身の矯正医のみが診療

在籍する矯正医は、すべて大学病院での
臨床・研究経験を積んだ矯正の専門家です。
大学病院と臨床現場の双方で磨いた技術と経験をもとに、最適な治療をご提案します。

POINT 02

一人ひとりに合わせた
「戦略的オーダーメイド診断」

精密検査を行い、患者さんごとに資料を作成。
主訴・ライフスタイル・背景まで踏まえたうえで、最適な治療戦略を立てます。

治療法は、マウスピース矯正・ワイヤー矯正など、
症状や骨格、歯列の状態に応じて慎重に判断。
一方的な押しつけではなく、
患者さんにとって最も合理的で効果的な方法を導きます。

POINT 03

あらゆる治療法に対応

小児矯正・ワイヤー矯正・マウスピース矯正、
すべての治療法を正しく提供可能です。
近年流行している「セラミック矯正」や
「マウスピースしかできない医院」のように、
限定的な治療選択を迫めることはしません。
最適な装置を組み合わせることで、
確実な治療ゴールへ導きます。

POINT 04

難症例にも対応可能

もともと歯の本数が足りない方や歯を欠損してしまった方、小臼歯抜歯が必要な方のマウスピース矯正にも対応しています。
抜歯を含めたすべての治療を当院で完結できるよう、各分野に専門ドクターを配置し、総合的に対応しています。

POINT 05

駅近で土日祝も診療

当院は、駅から徒歩1分という立地にあり、土日・祝日も週7で診療しています。
トラブルや気になることはすぐにご相談いただける診療体制により、仕事や学業で忙しい方も、安心して矯正治療を続けていただきたいと思います。

POINT 06

毎月勉強会を実施、
技術・知識をアップデート

治療に関わるすべてのスタッフが、より良い治療をご提供できるよう、常に技術・知識の研鑽に励んでいます。
矯正に関わる知識はもちろん、衛生管理や接遇等、気持ち良く治療を受けていただくために努力を続けています。

CONTACT

ご予約・お問い合わせ

五反田駅前ルミリア矯正歯科
オーラルビューティー

住所 〒141-0022
東京都品川区東五反田5-27-5
5セントラルビル4F
アクセス JR五反田駅東口より徒歩1分
休診日 不定休
診療科目 矯正歯科/口腔外科/
一般歯科/ホワイトニング・クリーニング

ご予約・お問い合わせ

TEL
03-6450-2811

お問い合わせ時間
平日 午前10:00〜13:30 午後15:00〜20:00
土日 午前10:00〜13:00 午後14:00〜18:30

CALENDAR

カレンダー

1月 / 2026
1休診日
2休診日
3休診日
4
5
6
7休診日
8休診日
9
10
11
12
13
14休診日
15
16
17
18休診日
19
20
21
22休診日
23
24
25
26休診日
27
28
29休診日
30
31
2月 / 2026
1
2
3
4
5
6
7
8
9
10
11
12
13
14
15
16
17
18
19
20
21
22
23
24
25
26
27
28
TEL LINE WEB予約