五反田駅前ルミリア矯正歯科オーラルビューティー

診療時間 午前10:00〜13:30 午後15:00〜20:00 休診日 不定休
診療時間
平日 午前10:00〜13:30 午後15:00〜20:00
土日 午前10:00〜13:00 午後14:00〜18:30

診療時間

午前10:00〜13:30 午後15:00〜20:00

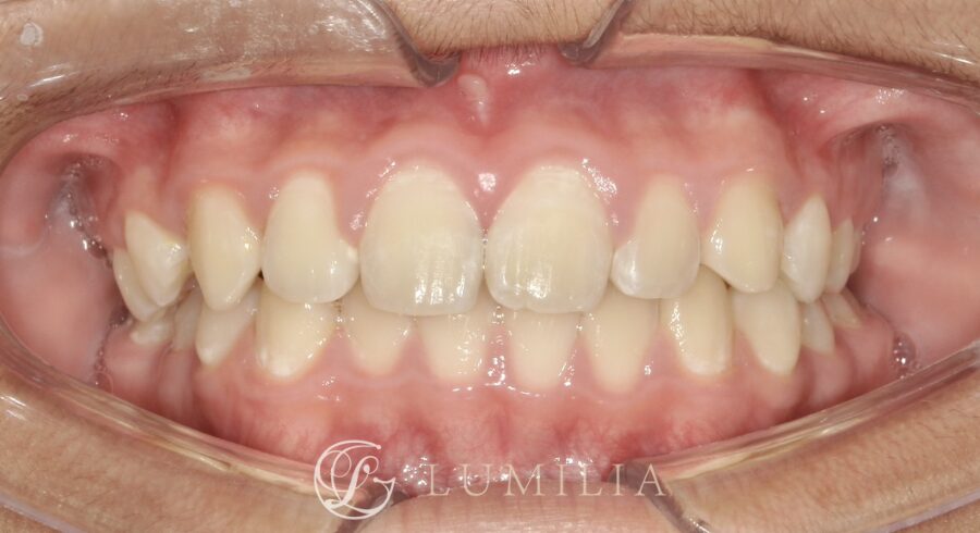
No.10 16歳5か月 上下顎左右第一小臼歯4本抜歯 マルチブラケット装置による全顎矯正

ACCESS

No.10 16歳5か月 上下顎左右第一小臼歯4本抜歯 マルチブラケット装置による全顎矯正

井口 恵一朗

記事監修者プロフィール

五反田駅前ルミリア矯正歯科
オーラルビューティー

矯正歯科担当

井口 恵一朗

歯学博士

経歴

  • 神奈川歯科大学 歯学部 卒業
  • 神奈川歯科大学附属病院臨床研修修了
  • 神奈川歯科大学附属病院矯正歯科勤務
  • 神奈川歯科大学大学院歯学研究科
  • (歯科矯正学分野)修了・博士号取得
  • 神奈川歯科大学大学院歯学研究科
  • (病理・組織形態学講座環境病理学 )特任講師

資格・所属学会

  • 日本矯正歯科学会
  • 日本歯科審美学会
  • 日本唾液ケア科学会
  • 日本包括的矯正歯科学会
  • 日本アライナー矯正歯科研究会

CONTACT

ご予約・お問い合わせ

五反田駅前ルミリア矯正歯科
オーラルビューティー

住所 〒141-0022
東京都品川区東五反田5-27-5
5セントラルビル4F
アクセス JR五反田駅東口より徒歩1分
休診日 不定休
診療科目 矯正歯科/口腔外科/
一般歯科/ホワイトニング・クリーニング

ご予約・お問い合わせ

TEL
03-6450-2811

お問い合わせ時間
平日 午前10:00〜13:30 午後15:00〜20:00
土日 午前10:00〜13:00 午後14:00〜18:30

【無料カウンセリング】口元の悩み、今すぐ相談!

電話をかける 24時間WEB予約 LINE予約